Ästhetische Zahnmedizin

Erfolgreich und sympathisch durch schöne Zähne

Schöne weiße Zähne sind schon immer ein Wunsch aller Menschen. Weiße Zähne verleihen uns eine positive und jugendliche Ausstrahlung und verhelfen uns zu mehr Anerkennung und Akzeptanz. Schöne weiße Zähne geben uns ein besseres Selbstwertgefühl. Ein offenes und herzliches Lachen ist Ausdruck von Lebenslust und Wohlbefinden, baut Brücken zu Menschen und erweckt Sympathie. Ästhetische weiße Zähne sind ein bedeutender Faktor für private und berufliche Erfolge. Strahlende, helle Zähne lassen das Gesicht jünger und vitaler erscheinen als verfärbte oder gelbliche Zähne. Abfinden muss sich mit Verfärbungen heute niemand mehr. Dank ausgereifter Methoden und Wirkstoffe können wir einzelne Zähne oder ganze Zahnreihen schonend aufhellen. In der Zahnmedizin steht dafür der Begriff Bleaching. Durch die Zahnaufhellung lassen sich sehr natürliche und ästhetische Ergebnisse erzielen.

Bleaching

Das Prinzip des Bleachings beruht darauf, dass die dunklen Farbpigmente mit speziellen carbamid- oder wasserstoffperoxidhaltigen Substanzen aufgehellt werden. Dies funktioniert ähnlich wie das Haarbleichen bzw. Blondieren beim Friseur. Je nach Verfahren können die Zähne dadurch ganz nach Bedarf und Wunsch um mehrere Farbstufen aufgehellt werden. Wichtig ist beim Bleichen, dass Zähne und Zahnfleisch sauber und gesund sind. Daher erfolgt vor jedem Bleaching eine genaue Untersuchung und eine professionelle Zahnreinigung. Nur so kann das Bleichmittel die Zähne optimal aufhellen. Welches Verfahren der Zahnarzt anwendet, hängt von der Ursache und dem Ausmaß der Verfärbung ab. Grundsätzlich unterscheidet man drei verschiedene Methoden.

Office-Bleaching

Das Office-Bleaching ist eine sehr effektive und schnelle Methode der Zahnaufhellung. Das Bleaching wird, wie der Name vermuten lässt, vollständig unter der Aufsicht des zahnärztlichen Personals in unserer Praxis durchgeführt. Zu Beginn der Behandlung wird das Zahnfleisch mit einem speziellen Material abgedeckt. Anschließend wird das hoch konzentrierte Bleichmittel äußerlich auf die einzelnen Zähne im Sichtbereich aufgebracht und wirkt ca. 15 Minuten auf die Zähne ein. Es wird abgespült und dieser Vorgang wird zur Optimierung des Bleichergebnisses mehrfach wiederholt.

In der Regel stellt sich bereits nach kurzer Zeit das gewünschte Ergebnis ein, so dass meist ein Behandlungstermin ausreichend ist.

Der Vorteil des Office-Bleachings ist, dass die Behandlung durchgehend unter der Überwachung des geschulten Personals stattfindet und sich der gewünschte Erfolg sehr schnell zeigt, so dass diese Behandlungsmethode besonders dann geeignet ist, wenn Sie bei einem wichtigen Ereignis mit Ihren strahlenden Zähnen einen sympathischen Eindruck hinterlassen möchten.

Beim Bleachen werden intakte Füllungen, Zahnschmelz und Dentin nicht angegriffen. Die natürliche Zahnsubstanz wird geschont. Es kann vereinzelt zu geringfügigen Reizungen des Zahnfleisches oder einer leichten Überempfindlichkeit der Zähne kommen, welche aber innerhalb weniger Tage wieder abklingen. Die Unschädlichkeit des Bleachings wurde in mehreren Studien nachgewiesen. Die Behandlung kann bei Bedarf beliebig oft wiederholt werden. In der Regel hält das Bleichergebnis bei optimaler Pflege und Prophylaxe über einen langen Zeitraum an.

Home-Bleaching

Für das Home-Bleaching, eine äußerlich an den Zähnen angewandte Behandlung, fertigen wir in Zusammenarbeit mit unserem zahntechnischen Labor passgenaue Zahnschienen aus Kunststoff an. Der eigentliche Bleichvorgang wird vom Patienten nach genauer Anweisung selbstständig durchgeführt: Die Zahnschiene wird mit Bleichmittel befüllt und je nach Präparat für eine oder mehrere Stunden getragen. Die Anwendungsdauer beträgt je nach angestrebtem Helligkeitsgrad in der Regel mehrere Wochen.

Internes Bleaching

Das interne Bleaching ist eine Aufhellungstherapie, die bei Verfärbungen wurzelbehandelter Zähne angewandt wird. Der Zahnarzt bringt das Bleichmittel in den eröffneten wurzelbehandelten Zahn ein. Dieser wird mit einem provisorischen Füllungsmaterial verschlossen, bis nach wenigen Tagen das gewünschte Aufhellungsergebnis erreicht ist.

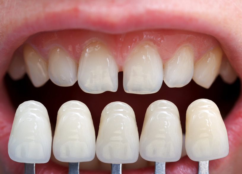
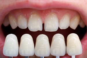
Veneers / Keramikverblendschalen

Veneers sind sehr dünne Keramikschalen, die dauerhaft auf die Zähne aufgeklebt werden. So kann man kleine Zahnlücken schließen oder auch Schiefstellungen kaschieren. Es lassen sich abgebrochene Zähne reparieren und auch die Zahnform lässt sich ästhetisch optimieren, vor allem aber lassen sich mit Veneers deutliche Farbveränderungen realisieren und unschöne Verfärbungen überdecken. Die ästhetischen Wünsche unserer Patienten besprechen wir zusammen mit unserem Zahntechniker, um Ihr individuelles Lächeln zu realisieren. Da Veneers sehr dünn angefertigt werden können, muss der Zahn nur minimal auf seiner Vorderseite beschliffen werden, damit die Keramikverblendschale nicht übersteht, das Verfahren ist also sehr zahnschonend. Nach dieser Vorbereitung wird eine Abformung von den Zähnen angefertigt und anschließend die Zähne mit einem Provisoriom versorgt. Die Herstellung der Veneers erfolgt im zahntechnischen Labor. Nach ästhetischen Anproben und Optimierungen erfolgt das definitive Eingliedern. Die Keramikveneers werden mittels modernster Adhäsivtechnik mit den Zähnen verklebt, so dass ein stabiler und dauerhafter Verbund mit den echten Zähnen für viele Jahre erreicht wird.

Ästhetische Korrekturen

Kleinere Farb- und Formkorrekturen wie Schneidekanten-Ergänzungen, Korrekturen von verfärbten Füllungen oder auch das Auffüllen kleiner Zahnzwischenräume oder Zahnhals-Defekte lassen sich in vielen Fällen mit hochästhetischen Composite-Kunststoffen korrigieren. Abhängig von der Größe des Defektes und der Erreichbarkeit stellt dieses substanzschonende Vorgehen eine echte Alternative zu laborgefertigten Keramikrestaurationen dar.